Emergency Dental Appointments Near Me in San Jose, CA
When something unexpected happens with your teeth or gums, you want to know you’re turning to a dentist who is both highly skilled and genuinely focused on your well-being. Dental emergencies can be stressful, but a professional who has experience, confidence, and compassion can make all the difference. The right dentist doesn’t just treat the …
Read More
Tooth Ache Treatment in San Jose, CA
When you’re dealing with a toothache, all you want is relief. The discomfort can make it hard to concentrate, sleep, or enjoy meals. Getting help from a skilled dentist can restore your comfort and your peace of mind. It feels good to know you’re taking care of your health and protecting your smile. Why people …
Read More
Dentist Accepting Emergency Patients in San Jose, CA
When a dental emergency happens, you want help fast, and you want to know that you’re in good hands. Whether it’s a chipped tooth, sudden pain, or a problem that can’t wait, having access to a dentist accepting emergency patients can bring immediate relief and peace of mind. Getting care quickly can protect your health, …
Read More
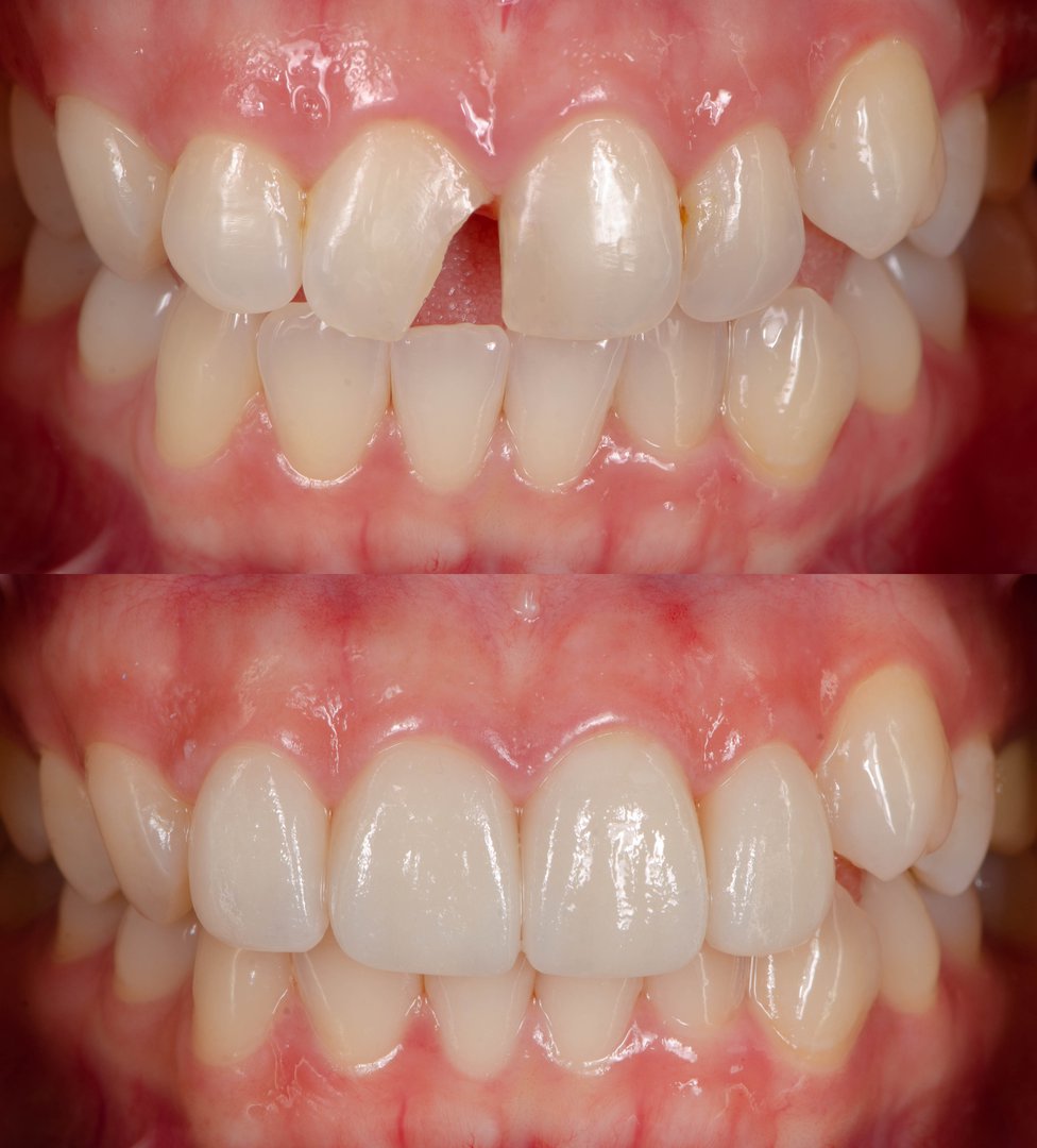
Broken Tooth Treatment in San Jose, CA
A broken tooth can be a shock, but it doesn’t have to ruin your day. Getting prompt and professional care helps restore not only the function of your tooth but also your confidence in your smile. With the right dental team, you’ll feel supported and informed every step of the way. Common reasons people seek …
Read More
Best Emergency Dentist in San Jose, CA
Best Emergency Dentist When you’re in pain or facing an unexpected dental issue, getting help becomes your top priority. The best emergency dentist is someone who can respond quickly, treat you with compassion, and help you feel at ease through every step of your care. Having a trusted professional nearby can turn a stressful moment …
Read More
Tooth Pain Treatment Near Me in San Jose, CA
A vibrant, pain-free smile is the cornerstone of confidence and well-being. When tooth pain disrupts this, it impacts more than just your oral health; it affects your daily life and overall happiness. Addressing tooth pain promptly and effectively is essential for restoring your comfort and preserving the beauty of your smile. A skilled dentist can …
Read More
Emergency Dental Appointments Near Me in San Jose, CA
Emergency Dental Appointments Near Me When you’re in pain or facing a dental emergency, your comfort matters more than ever. Whether it’s unexpected discomfort or a sudden injury, it helps to know there’s a dental practice nearby that is ready to welcome you with comprehensive and compassionate care. From the moment you call to the …
Read More
Best Emergency Dentist Near Me in San Jose, CA
Best Emergency Dentist Near Me When something unexpected happens to your smile, finding the best emergency dentist near you can make all the difference. A dental emergency doesn’t just affect your teeth—it can impact your comfort, your confidence, and your ability to go about your day. Quick, reliable care helps restore your smile and your …
Read More
Best Emergency Dentist in San Jose, CA
Best Emergency Dentist When something unexpected happens to your teeth or gums, knowing where to turn makes all the difference. The best emergency dentist is someone who can help you feel calm, cared for, and confident—even in a stressful situation. Acting quickly and getting the right care can help preserve your smile and relieve discomfort …
Read More
Emergency Tooth Extraction in San Jose
Emergency Tooth Extraction We like to preserve our natural teeth for as long as we live but sometimes emergencies happen and compel us to consider extractions. An emergency tooth extraction procedure may be simple or advanced depending on the cause of the extraction. For example, if you are extracting a tooth that is stuck under …
Read More